皇冠信用网在线注册_河南一老人做冠脉造影手术时一截导丝断在血管中!院方回应
世界杯皇冠信用网平台(www.hg0088.us)为您提供最新登1登2登3代理网址,包括新2登1登2登3代理手机网址,新2登1登2登3代理备用网址,皇冠登1登2登3代理最新网址,近日,来自河南汝州的高女士反映称,她的父亲在河南省胸科医院做冠脉造影手术时,手术所用导丝末端断裂,一截导丝被遗留在血管中皇冠信用网在线注册。“父亲原本就有血栓,担心随着父亲年龄增长,病情会加剧。”
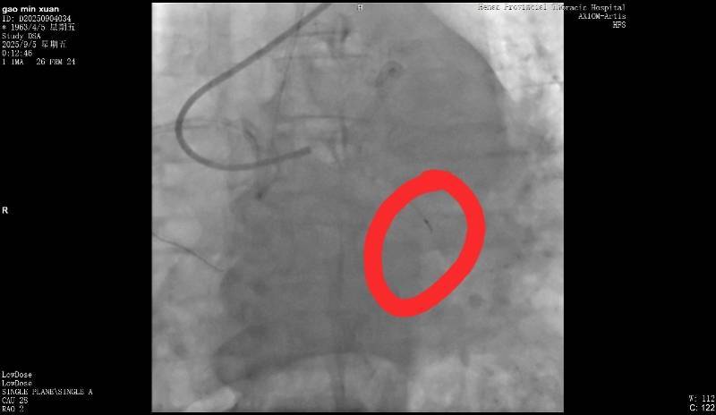
9月30日,涉事医院医患办公室工作人员告诉南都N视频记者,术后院方组织了相关科室会诊,判断回旋支指引导丝远段断裂,与患者回旋支弥漫性动脉硬化重度狭窄病变及钙化有关皇冠信用网在线注册。如果患者需要做医疗事故鉴定,院方将全力配合。目前仍在与该病人家属进行协商。

断裂的导丝皇冠信用网在线注册。受访者供图
病人家属:担心遗留导丝会加剧病情
高女士向南都记者介绍,其父亲今年62岁,去年因冠心病在河南省胸科医院做过支架植入手术皇冠信用网在线注册。今年9月2日,因感到胸闷,其父亲再次到该医院复查。
9月5日,高女士父亲在该医院做冠脉造影,手术进行了近3个小时皇冠信用网在线注册。高女士回忆说,手术结束后,负责手术的医生告诉她,“在微创探查体内的时候,一截导丝断裂。”当高女士询问能否再次实施手术取出时,医生表示因病患年纪较大,开胸手术存在危险,并没有取出的必要。但对于遗留导丝会否在后续造成长期影响,该医生则称“无法确定”。
高女士提供的病程记录显示,“手术操作过程中出现回撤导丝困难,送入微导管尝试至坎顿处未成功,退出微导管时远段导丝断裂,多途径尝试取出断裂导丝均未能成功皇冠信用网在线注册。”资料还指出,“通过复查造影,回旋支近段残余狭窄小于30%,未见明显夹层、无复流。”
南都记者留意到,该病程记录给出了心血管外科一病区会诊意见,称“回旋支内见离断的介入导丝,外科取出导丝意义不大,建议内科治疗”皇冠信用网在线注册。
高女士认为,父亲原本就有血栓,按照医院的说法,他的血管狭窄、钙化严重,其担心随着父亲年龄增长,情况会加剧皇冠信用网在线注册。她表示,目前有两个诉求,一是希望医院能给予一定金额的赔偿;二是由医院对接能做开胸手术的医院,必要情况下协助垫付一定费用。
涉事院方:可配合做相关医疗鉴定
9月30日,南都记者联系涉事医院医患办咨询,接线人员表示,目前已了解高女士的诉求,正积极与高女士进行协商皇冠信用网在线注册。
该名接线人员表示,该患者入院后,诊断冠心病、急性冠脉综合征,手术指征明确皇冠信用网在线注册。“术前已与患者及家属沟通病情,告知其冠脉造影及冠脉支架植入术的必要性及相关风险。”
这一说法可以在高女士提供的病程记录中得到印证皇冠信用网在线注册。相关记录显示,9月4日,手术医师进行查房,随后与患者及家属沟通病情,告知其冠脉造影及冠脉支架植入术的必要性及相关风险,其中提及,术后可能出现支架再狭窄或支架内血栓形成,可造成相关脏器急性缺血坏死或功能障碍,危及生命,以及导丝、导管、鞘管等术中所用材料断裂、打折等,必要时需要外科手术治疗。
该医患办工作人员向南都记者解释称,术后院方组织了相关科室会诊,判断回旋支指引导丝远段断裂,与患者回旋支弥漫性动脉硬化重度狭窄病变及钙化有关皇冠信用网在线注册。“如果患者需要做医疗事故鉴定,院方将全力配合。如果对方经济困难,医院愿意垫付费用做鉴定。”其还表示,医院将根据第三方相关鉴定,承担院方该承担的责任。
南都记者了解到,当前高女士向医院提出30万的索赔,院方认为索赔数目太高,建议走司法程序进行司法鉴定,以此明确医院的过错及比例,如果家属对血管里的导丝感到担心,医院可先补偿8000元皇冠信用网在线注册。
高女士表示,当前她已将诉求反映至省卫健委有关部门,正在进一步等候处理中皇冠信用网在线注册。
采写:南都N视频记者 林诗妍
猜你喜欢
- 10小时前皇冠信用网在线申请_全明星首轮:东契奇票王 字母哥东部第1+老詹西部第9
- 10小时前皇冠信用网在线申请_“吓得整晚不敢睡”,女子与男友入住酒店,3次遭陌生人刷卡开门!市监介入
- 15小时前信用网怎么注册_高速公路罕见场景:1人车内“把方向”,3人车后奋力推
- 20小时前皇冠信用网最新地址_伦纳德55分神勇演出后,快船主场迎战国王:西部低迷球队的生存之战
- 20小时前皇冠信用网最新地址_“蹭饭书记”卸任,村民都哭了……
- 21小时前介绍个信用网网址_美日没想到:解放军和中国海警“锁台”之际,普京打出最意外一拳
- 21小时前介绍个信用网网址_女子入住桔子水晶酒店两天三遭陌生人开门,自称被吓得整晚不敢睡,酒店提出免两晚房费未被接受,市监介入后已和解
- 21小时前介绍个信用网网址_西方各国没想到,澳方是个蠢货,扳倒中国的计谋,水灵灵说了出来
- 24小时前皇冠信用网怎么开户_台湾女子在齐齐哈尔用餐被东北大哥抢买单:这次来东北就是为了和丈夫办婚礼,非常喜欢热情的东北人
- 24小时前皇冠信用网怎么开户_解放军围台第1天,台军喊出备战,郑丽文痛批赖清德:把路走绝了!
- 1天前皇冠信用网怎么租_亚特兰大0-1小胜国米,赛后评分:第1不是劳塔罗,而是亚特兰大17号德凯特拉雷!
- 1天前皇冠信用网怎么租_美国斩首行动失败,16枚战斧导弹突袭,无人伤亡,尼日利亚还得靠中械
- 1天前皇冠信用网怎么租_刚见完特朗普,泽连斯基称他将与多名欧洲领导人一起明年1月再次赴美会见特朗普
- 1天前皇冠信用网结算日是哪天_舰机多向抵近台岛!诸军兵种联合突击!东部战区组织陆军、海军、空军、火箭军等兵力,进行重要军事演习
- 1天前皇冠信用网结算日是哪天_换人立竿见影!替补登场的皮奥助攻劳塔罗破门,国米1-0亚特兰大
- 2天前皇冠信用网怎么代理_数万星链发起“围攻”,中国六战六捷,对美完成降维打击
- 2天前皇冠信用网怎么代理_历史新高!突破6万亿元!
- 2天前皇冠信用网怎么代理_3-0领先终于能休息了!莫德里奇第70分钟被换下,亚沙里替补登场
- 2天前正版皇冠信用网开户_32岁女教师突发疾病去世,同行叹惜“身体才是一切的本钱”,医生提醒——
- 2天前皇冠信用网足球代理_中央广电总台副台长王晓真,黑龙江省委宣传部部长王岚,浙江省委秘书长邱启文,安徽省副省长孙勇,四川省委宣传部部长郑莉等共同发布
- 2天前皇冠信用网足球代理_莫德里奇的温情告别:全场欢呼与阿莱格里的深情拥抱背后的故事
- 2天前皇冠信用网登2_马来西亚华人被排挤但中文流利,新加坡华人为何却主动抛弃中文?
- 2天前皇冠信用网登2_沙利文终于承认,佩洛西窜台是步臭棋,台海环境已发生不可逆改变
- 2天前皇冠信用网登2_尤文图斯2-0比萨:战术分析与数据透视,谁才是胜利的真正赢家?


网友评论